덧니교정

덧니란, 치아가 나올 공간이 부족해 치아가 제 위치에 정상적으로 나지 못하고, 삐뚤삐뚤하게 나거나, 다른 치아에 포개어 난 모습을 말합니다.
덧니교정의 경우 환자의 상태에 따라 발치 여부가 결정되는데, 덧니의 양, 입 돌출 여부, 사랑니 유무에 따라 교정 방법이 결정됩니다.
발치가 부득이한 경우에는 기능상 미관상 지장이 없는 작은 어금니 중 하나를 발치해 교정을 진행합니다.

덧니교정이 필요한 대상
  • 음식 섭취 후 이물질이 자주 끼는 경우
  • 덧니로 인해 음식을 씹는데 불편함을 느끼는 경우
  • 충치 및 잇몸질환 발생 빈도가 잦은 경우
  • 심한 덧니로 교합이 제대로 맞지 않는 경우
  • 가지런한 치아를 원하는 경우
덧니교정 치료과정
01 교정 상담 및 정밀진단

파노라마, 골격 X-ray촬영, 구강, 얼굴사진, 치아
본뜨기 등 디지털 검사장비를 통해 턱의 구조적
특성, 치아의 상태 등을 꼼꼼하게 검사, 검진합니다.

02 검사결과 진단 및 교정계획 수립

교정과, 구강악안면외과, 보철과, 각 진료별
전문의가 모여 검진 결과를 바탕으로 치료목표와
계획을 수립합니다.

03 교정치료

치료계획을 바탕으로 교정치료를 시작합니다.
한달에 한번 내원하여 진료 및 교정 과정을
점검합니다.

04 교정종료 후 유지장치 부착

교정치료를 마무리하고 유지장치를 부착합니다.

05 지속적인 사후관리

교정 후에도 지속적인 관리 및 검진을 시행합니다.

"라인업 치과는 최상의 결과를 위해 교정과, 구강악안면외과, 보철과 각 진료별 전문의가 모여 치료 목표와 계획을 수립 합니다."

덧니 교정장치 종류

개인 치아 상태에 따른 교정장치 선택이 중요합니다.

메탈 교정

높은 정밀도와 효율성
다른 교정장치 대비 저렴한 비용
메탈 브라켓으로 비심미적

세라믹 교정

가격대비 우수한 심미성
메탈교정과 같은 교정력
부드러운 표면으로 이물감이 적음

클리피씨 교정

자가결찰방식
빠른 치아이동력으로 기간단축
통증과 불편함 최소화

투명 교정

언제 어디서나 탈부착 가능
눈에 잘보이지 않는 심미성
위생적인 관리 용이

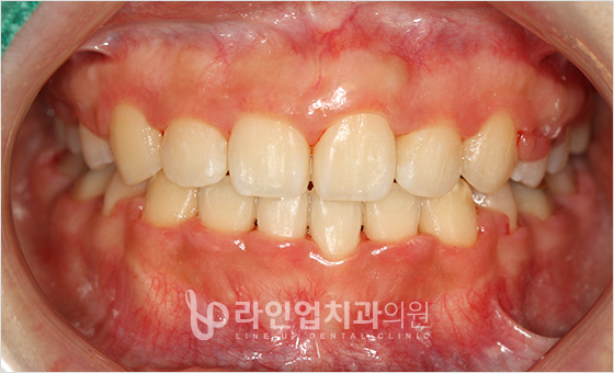
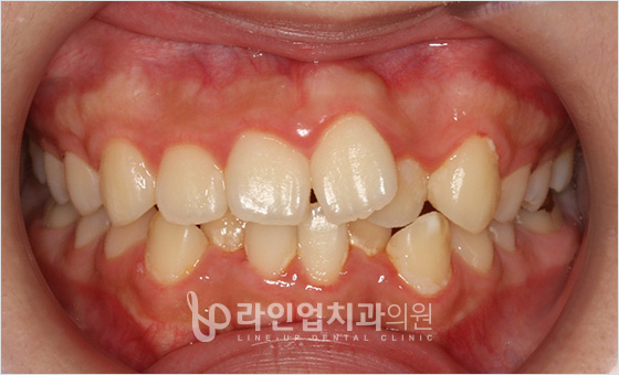
전후사진
치료전 Before
치료후 After
전후사진 더 보기
라인업치과
덧니교정 가이드

덧니의 경우 관리를 잘 해주지 않는다면 충치가 쉽게 생겨 다른 치아까지 영향을 미칠 수 있습니다.
각종 잇몸질환의 주요 원인이 될 수 있기 때문에 교정치료가 필요 합니다. 덧니 미용목적이 아닌 평생 사용할 영구치를 지치기 위해 교정 치료가 필요 합니다.

라인업치과 빠른상담
빠른 상담신청

개인정보 취급방침

1.개인정보 수집이용에 대한 동의 ‘라인업치과의원’는 회원님의 개인정보를 중요시하며, “정보통신망 이용촉진 및 정보보호”에 관한 법률을 준수하고 있습니다. 회원님의 소중한 개인정보는 다음과 같은 정책에 따라 수집 및 이용되며, 회원님께서 제공하시는 개인정보가 어떠한 용도와 방식으로 이용되고 있으며, 개인정보보호를 위해 어떠한 조치가 취해지고 있는지 알려드립니다. 또한 개인정보취급방침을 개정하는 경우 웹사이트 공지사항을 통하여 공지할 것입니다.


2.개인정보의 수집•이용 목적 회원님께서 요청하신 제휴 문의에 대한 질의에 더욱 정확한 답변을 위해 성함, 연락처, 상담내용 등의 정보가 수집됩니다. - 수집항목 : 성명, 연락처, 상담내용 - 이용목적 : 상담내용에 대한 답변, 상담 관련 마케팅 및 정보안내 고지에 활용


3.보유이용 기간 원칙적으로, 개인정보 수집 및 이용목적이 달성된 후에는 해당 정보를 바로 파기합니다. 단, 다음의 정보에 대해서는 아래의 사유로 명시한기간 동안 보존합니다. - 보존 이유 : 회원님의 동의를 통한 정보 유지 - 보존 기간 : 회원정보 삭제 요청 시까지