치아미백이란?

미백약제를 치아에 도포하여 누렇게 변했던 치아의 색을
하얗게 되돌리는 시술법입니다.

치아미백이 필요한 경우
  • 누런 치아 때문에 활짝 웃지 못하시는 분
  • 결혼이나 취업을 앞두고 밝은 인상을 만들기 원하시는 분
  • 금연 후 하얀 치아를 되찾기를 원하시는 분
치아 미백 시술 전 스케일링
꼭 해야하는 이유!

스케일링은 치아 표면과 사이에 있는 찌꺼기와 치석을 깨끗하게 제거하고 부어있는 잇몸도 가라앉혀 치아를 깨끗하게 해주는 역할을 합니다.

미백을 하기 전 스케일링이 꼭 선행되어야 하는 이유는 미백효과가 감소되거나 치석으로 인해 치아에 얼룩이 생기는 것을 막기 위해서 입니다. 또한 치아미백 시 잇몸을 보호하기 위해서 잇몸보호제를 바르게 되는데 치석이 있거나 잇몸이 부어있는 상태에서는 잇몸보호제가 제 기능을 못할 수도 있기 때문입니다.

치아미백 과정
01 구강사진 촬영

현재 치아 색을 치아색상키트를 이용해 체크하고
치아 사진을 촬영합니다.

02 스케일링

시술 전 구강상태를 체크하고 스케일링을
시행합니다.

03 잇몸보호제 도포

입술보호크림을 바른 후 미백제로부터 잇몸을
보호하기 위해 치아와 잇몸의 경계부위에
잇몸보호제를 바릅니다.

04 치아 미백제 도포

치아미백제를 치아에 도포합니다.

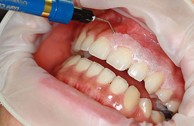
05 미백 레이저 시술

보호 안경을 착용 후 미백 레이저를 시술합니다.

06 전후사진 비교

변화된 치아색을 시술 전 치아색상키트와
비교하고 사진촬영을 통해 달라진 모습을
확인합니다.

치아미백 후 주의사항
  • 치아가 깨져있거나 충치가 있는 경우에는 미백제와 반응해 시릴 수가 있기 때문에 구강검진이 우선시 되어야 합니다.
  • 미백 중에는 흡연은 안되며, 와인, 카레, 커피와 같은 색소가 많이 든 음식섭취는 피하시는 것이 좋습니다.
  • 미백 후 시린 증상은 미백제가 잘 투여됐다는 의미이며, 시간이 지나면 증상은 사라집니다.
  • 치아미백 시술이 끝난 후에도 6개월에서 1년 주기로 스케일링 및 정기검진을 받는 것이 좋습니다.
치아미백 사례
치료전 Before
치료후 After
전후사진 더 보기
라인업치과 빠른상담
빠른 상담신청

개인정보 취급방침

1.개인정보 수집이용에 대한 동의 ‘라인업치과의원’는 회원님의 개인정보를 중요시하며, “정보통신망 이용촉진 및 정보보호”에 관한 법률을 준수하고 있습니다. 회원님의 소중한 개인정보는 다음과 같은 정책에 따라 수집 및 이용되며, 회원님께서 제공하시는 개인정보가 어떠한 용도와 방식으로 이용되고 있으며, 개인정보보호를 위해 어떠한 조치가 취해지고 있는지 알려드립니다. 또한 개인정보취급방침을 개정하는 경우 웹사이트 공지사항을 통하여 공지할 것입니다.


2.개인정보의 수집•이용 목적 회원님께서 요청하신 제휴 문의에 대한 질의에 더욱 정확한 답변을 위해 성함, 연락처, 상담내용 등의 정보가 수집됩니다. - 수집항목 : 성명, 연락처, 상담내용 - 이용목적 : 상담내용에 대한 답변, 상담 관련 마케팅 및 정보안내 고지에 활용


3.보유이용 기간 원칙적으로, 개인정보 수집 및 이용목적이 달성된 후에는 해당 정보를 바로 파기합니다. 단, 다음의 정보에 대해서는 아래의 사유로 명시한기간 동안 보존합니다. - 보존 이유 : 회원님의 동의를 통한 정보 유지 - 보존 기간 : 회원정보 삭제 요청 시까지