안면비대칭 교정

안면비대칭이란, 얼굴 상하좌우 모습이 다르면서 얼굴이 비뚤어진 모습으로 ‘반안면왜소증’이라고도 합니다.
사실 100% 대칭이 완벽한 사람은 거의 없기 때문에 어느 정도의 비대칭은 모두 다 있다고 볼 수 있습니다.
하지만 일반적인 정도가 아닌 육안으로도 쉽게 얼굴 좌우가 다른 것이 확연히 보이는 사람들에게 안면비대칭 진단을 내립니다.
얼굴 좌우 대칭이 맞지 않으면 전체적인 균형이 틀어져 보이기 때문에 교정을 통해 해결하는 것이 좋습니다

안면비대칭 교정이 필요한 대상
  • 미소를 지을 때, 한쪽 입꼬리만 올라가는 경우
  • 치아를 다물었을 때, 한쪽으로 쏠려보이는 경우
  • 치아를 다물었을 때, 정준선이 일치하지 않는 경우

안면비대칭 교정안면비대칭 수술

안면비대칭이 교정만으로 가능한지, 아니면 수술만이 답인지에 대해 많은 이야기가 있습니다.
심각한 비대칭이 아니라면 교정만으로도 치아의 정준선을 일치시켜 비대칭을 완화시 킬 수 있지만, 비대칭의 정도가 심한 경우,
정교합, 돌출입, 주걱턱 등이 동반된 경우는 수술을 해야 만족스러운 결과를 얻을 수 있습니다.

부정교합 교정 치료과정
01 교정 상담 및 정밀진단

파노라마, 골격 X-ray촬영, 구강, 얼굴사진, 치아
본뜨기 등 디지털 검사장비를 통해 턱의 구조적
특성, 치아의 상태 등을 꼼꼼하게 검사, 검진합니다.

02 검사결과 진단 및 교정계획 수립

교정과, 구강악안면외과, 보철과, 각 진료별
전문의가 모여 검진 결과를 바탕으로 치료목표와
계획을 수립합니다.

03 교정치료

치료계획을 바탕으로 교정치료를 시작합니다.
한달에 한번 내원하여 진료 및 교정 과정을
점검합니다.

04 교정종료 후 유지장치 부착

교정치료를 마무리하고 유지장치를 부착합니다.

05 지속적인 사후관리

교정 후에도 지속적인 관리 및 검진을 시행합니다.

"라인업 치과는 최상의 결과를 위해 교정과, 구강악안면외과, 보철과 각 진료별 전문의가 모여 ONE-STOP 진료가 가능합니다."

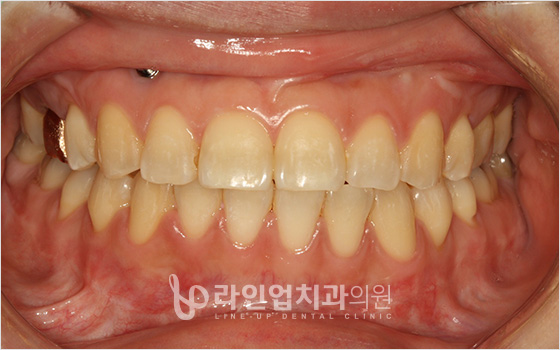
전후사진
치료전 Before
치료후 After
전후사진 더 보기
라인업치과
안면비대칭 교정
가이드

안면비대칭 치료응 우선 CT촬영을 통해 정확한 진단이 필요합니다. 심각한 비대칭이 아닌 삐뚤어진 치아로
비대칭 상태라면 교정만으로도 치료가 가능 합니다.
심한경우 복합적인 사각턱수술, 턱끝수술 등을 통해 얼굴 중심선을 잡아 줍니다.

라인업치과 빠른상담
빠른 상담신청

개인정보 취급방침

1.개인정보 수집이용에 대한 동의 ‘라인업치과의원’는 회원님의 개인정보를 중요시하며, “정보통신망 이용촉진 및 정보보호”에 관한 법률을 준수하고 있습니다. 회원님의 소중한 개인정보는 다음과 같은 정책에 따라 수집 및 이용되며, 회원님께서 제공하시는 개인정보가 어떠한 용도와 방식으로 이용되고 있으며, 개인정보보호를 위해 어떠한 조치가 취해지고 있는지 알려드립니다. 또한 개인정보취급방침을 개정하는 경우 웹사이트 공지사항을 통하여 공지할 것입니다.


2.개인정보의 수집•이용 목적 회원님께서 요청하신 제휴 문의에 대한 질의에 더욱 정확한 답변을 위해 성함, 연락처, 상담내용 등의 정보가 수집됩니다. - 수집항목 : 성명, 연락처, 상담내용 - 이용목적 : 상담내용에 대한 답변, 상담 관련 마케팅 및 정보안내 고지에 활용


3.보유이용 기간 원칙적으로, 개인정보 수집 및 이용목적이 달성된 후에는 해당 정보를 바로 파기합니다. 단, 다음의 정보에 대해서는 아래의 사유로 명시한기간 동안 보존합니다. - 보존 이유 : 회원님의 동의를 통한 정보 유지 - 보존 기간 : 회원정보 삭제 요청 시까지