치아성형이란?

치아교정과 달리 짧은 시간 내에 치아를 하얗고 가지런하게 바꿀 수< 있어 급속교정 이라고도 불립니다. 변색, 손상, 형태이상,파절, 벌어진 치아, 토끼앞니와 같이 치아가 심미적이지 못한 경우 정상적인 모양으로 복원하는 시술로 아주 심미적인 영역입니다.
치아성형은 개인의 치아형태와 비율, 잇몸라인, 얼굴 형태 등을 분석하여 시술하기 때문에 나에게 가장 어울리는 치아로 변신이 가능한 시술입니다.

치아성형이 필요한 경우
  • 앞니 사이가 벌어져 있다.
  • 치아에 얼룩이 있거나 치아 모양이 이상하다.
  • 치아의 변색이 심해서 치아미백으로 효과를 보기 어렵다
  • 치아의 배열이 삐뚤삐뚤하지만 교정치료는 너무 길다.
  • 치아가 부러지거나 손상되었다.
치아성형 과정
01 X-ray 촬영 및 구강검사

1차 가상수술 결과를 보여드리며 자신에게 맞는 수술방법과 진행되는 과정 등 수술에 대한 전반적인 내용을 원장님과 상담하게 됩니다.

02 왁스 업

미리 찍어둔 사진을 참고하여 환자의 치아모양을 본뜬 모형에서 새로운 치아모양을 디자인합니다.

03 치아 최소삭제

제작된 모양을 붙일 수 있는 최소한의 치아를 삭제한 뒤 임시 보철물을 부착합니다.
치아삭제 시 신경치료가 필요한 경우 수일이 걸릴 수 있으며 신경치료 후 임시 보철물을 부착합니다.

04 영구부착

부착된 임시치아의 치아모양과 잇몸라인을 확인 후 기공과정을 거쳐 가장 자연스러운 보철물로영구 부착합니다.

치아성형 후 주의사항
  • 앞니로 딱딱한 것을 깨물거나 끈적거리는 음식은 섭취를 삼가 합니다.
  • 치아가 민감한 경우 차갑거나 뜨거운 음료는 자제하는 것이 좋습니다.
  • 치과에서 알려드린 올바른 잇솔질대로 따라주시는 것이 보철물을 오래 사용하실 수 있습니다.
  • 평소에 구강청결에 더욱 신경을 쓰며 6개월 ~ 1년 주기로 스케일링 및 구강검진을 받는 것이
    좋습니다.
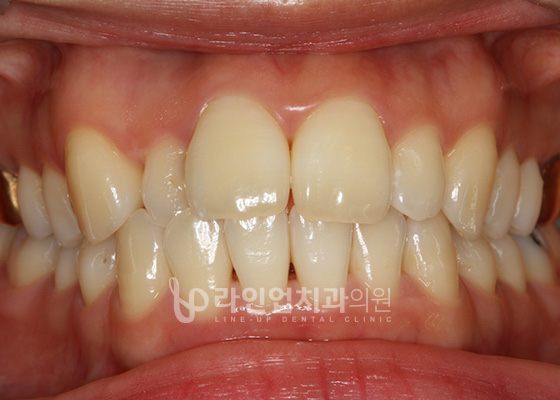
치아성형 사례
치료전 Before
치료후 After
전후사진 더 보기
라인업치과 빠른상담
빠른 상담신청

개인정보 취급방침

1.개인정보 수집이용에 대한 동의 ‘라인업치과의원’는 회원님의 개인정보를 중요시하며, “정보통신망 이용촉진 및 정보보호”에 관한 법률을 준수하고 있습니다. 회원님의 소중한 개인정보는 다음과 같은 정책에 따라 수집 및 이용되며, 회원님께서 제공하시는 개인정보가 어떠한 용도와 방식으로 이용되고 있으며, 개인정보보호를 위해 어떠한 조치가 취해지고 있는지 알려드립니다. 또한 개인정보취급방침을 개정하는 경우 웹사이트 공지사항을 통하여 공지할 것입니다.


2.개인정보의 수집•이용 목적 회원님께서 요청하신 제휴 문의에 대한 질의에 더욱 정확한 답변을 위해 성함, 연락처, 상담내용 등의 정보가 수집됩니다. - 수집항목 : 성명, 연락처, 상담내용 - 이용목적 : 상담내용에 대한 답변, 상담 관련 마케팅 및 정보안내 고지에 활용


3.보유이용 기간 원칙적으로, 개인정보 수집 및 이용목적이 달성된 후에는 해당 정보를 바로 파기합니다. 단, 다음의 정보에 대해서는 아래의 사유로 명시한기간 동안 보존합니다. - 보존 이유 : 회원님의 동의를 통한 정보 유지 - 보존 기간 : 회원정보 삭제 요청 시까지