교정과 구강악안면외과, 치주과 전문의들이 상주하여 교정 전,
교정 중, 교정 후
사후관리까지 만족스러운 진료를 약속드립니다.
치아교정 전문인력을 배치함으로써 보다 완성도 높은
교정 치료 효과에 이바지 합니다.
병원 내에 자체 중앙기공실을 운영, 교정전문 치과기공사가 상주하여 환자 개개인의 구강상태에 적합한 교정 기공물을 직접 제작합니다.
모든 교정장치, 교정기구, 교정용 철사 등 정품 사용을 통해
진료를 하고 있습니다.
사용되는 모든 기구 및 장비는 반드시 멸균, 소독과정을 통해
1회 사용을 원칙으로 합니다.
교정치료가 끝난 뒤에도 정기적인 내용 및 상태 체크를 통해
환자분께서 건강한 치아와 잇몸을 유지할 수 있도록 체크해드립니다.

교정상담 및 정밀진단

검진결과 진단 및
교정 계획 수립

교정치료

교정종료 후
유지장치 부착

지속적인 사후 관리
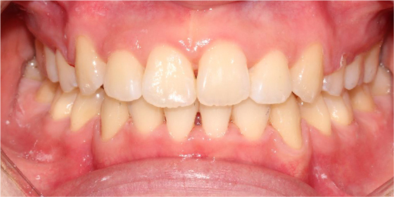
치료전
Before
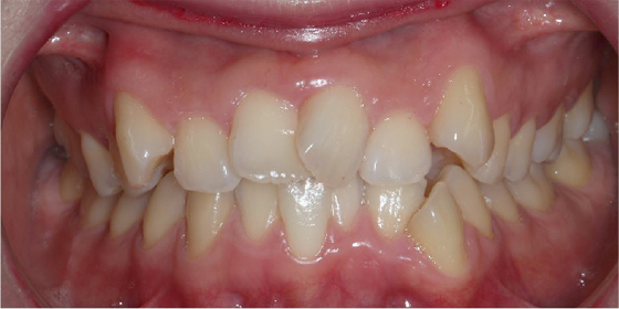
치료후
After
|
치료명 |
증상 |
치료기간 |
치료시작일 |
치료종료일 |
|
정밀교정진단 |
부정교합 |
22개월 |
2019.04.30 |
2021.03.08 |
|
부작용 : 개인 상태에 따라 결과의 차이와 감염 및 출혈과 같은 부작용이 있을 수 있습니다. |
||||
그렇지 않습니다.
치아를 가지런하게 펼 수 있는 공간이 충분한 경우와 입이 많이 나오지 않은 경우에는 치아를 빼지 않고 교정이 가능 합니다.
전체교정은 발치와 비발치 교정에 차이가 있습니다. 발치는 1년 6개월~ 2년 정도, 비발치 교정은 1년에서~1년 6개월 정도 소요됩니다.
부분교정은 이보다 짧은 6개월 정도 소요됩니다. 이 역시도 개개인의 치아와 뼈 상태에 따라 치료 기간이 달라 질 수 있습니다.
교정 때문에 치아가 약해진다고 보기는 어렵습니다.
다만, 교정 장치를 붙이면 양치하기 어려워 집니다. 양치질이 잘 안되면 치아가 약해지기 마련입니다.
그래서 라인업 치과에서는 교정용관리 KIT제공과 함께 양치질을 잘 하는 법을 교육해 드리고 있습니다.
일반브라켓(세라믹, 메탈 등)의 경우 장치와 와이어를 리게이쳐라는 얇은 철사를 이용해 묶어줘야 합니다.
자가결찰 장치(클리피씨)의 경우 장치 자체에 작은 뚜껑을 열고 와이어를 넣고 다시 뚜껑을 닫는 방식 입니다.
자가결찰 장치는 일반 장치에 비해 와이어와 장치 사이의 마찰력이 적어 치아 이동이 빠르고 치과 내원 간격을 멀리 잡아도 되고
치과에서의 진료시간도 단축 됩니다.
치아는 여러가지 외부 요인에 의해 평생 이동을 하게 됩니다.
교정을 하고 가지런한 채로 치아를 유지하기 위해서는 유지장치가 필요합니다. 교정이 끝난 후에 유지장치를 잘 착용하지 않으면
치아가 틀어질 수 있습니다.
네, 교정을 하고 난 이후 치아가 틀어지거나 혹은 입이 점점 나오는 경우 다시 재교정을 할 수 있습니다.
재교정의 경우 교정을 처음 시작할 때와 마찬가지로 정밀 진단을 거쳐 교정을 시작해야 합니다.
교정은 몇 개월에서 길게는 2~3년의 시간이
필요합니다. 오랫동안 내원해야 하는 만큼
편안하면서 체계적인 관리가 이루어지는 믿을 수
있는 병원을 선택해야
응급상황 발생 시, 혹은 문제가 발생하셨을 때 제대로 된 관리를 받을 수 있습니다.
1.개인정보 수집이용에 대한 동의
‘라인업치과의원’는 회원님의 개인정보를 중요시하며, “정보통신망
이용촉진 및 정보보호”에 관한 법률을 준수하고 있습니다.
회원님의 소중한 개인정보는 다음과 같은 정책에 따라 수집 및 이용되며,
회원님께서 제공하시는 개인정보가 어떠한 용도와 방식으로 이용되고 있으며,
개인정보보호를 위해 어떠한 조치가 취해지고 있는지 알려드립니다.
또한 개인정보취급방침을 개정하는 경우 웹사이트 공지사항을 통하여 공지할
것입니다.
2.개인정보의 수집•이용 목적
회원님께서 요청하신 제휴 문의에 대한 질의에 더욱 정확한 답변을 위해 성함,
연락처, 상담내용 등의 정보가 수집됩니다.
- 수집항목 : 성명, 연락처, 상담내용
- 이용목적 : 상담내용에 대한 답변, 상담 관련 마케팅 및 정보안내
고지에 활용
3.보유이용 기간
원칙적으로, 개인정보 수집 및 이용목적이 달성된 후에는 해당 정보를 바로
파기합니다. 단, 다음의 정보에 대해서는 아래의 사유로 명시한기간 동안 보존합니다.
- 보존 이유 : 회원님의 동의를 통한 정보 유지
- 보존 기간 : 회원정보 삭제 요청 시까지