부분교정

앞니를 제외한 다른 치열의 교합이 양호한 경우 고르지 못한 앞니만 부분적으로 교정하거나,
임플란트 식립할 공간이 상실되어 인접치아가 쓰러진 경우에 부분교정을 진행합니다.

부분교정 특징
빠른 교정기간

치아 상태에 따라 3~6개월 가량이면
교정이 완료되는 빠르고 속시원한 교정

부분치료 가능

원하는 부분만 선택적으로 치료가 가능

비용부담 DOWN

치아 앞니 부분교정으로
전체 교정 대비 부담이 낮아진 교정 비용!

부분교정 대상
  • 벌어진 치아를 개선하고 싶은 경우
  • 튀어나온 앞니만 개선하고 싶은 경우
  • 덧니로 심미, 기능적 불편함을 느끼는 경우
  • 치아삭제 없이 단기간에 치아 배열을 개선하고 싶은 경우
  • 나이가 들면서 치아 배열이 삐뚤어진 경우
  • 교정 후에도 만족감을 느끼지 못해 재교정이 필요한 경우
교정진행과정
  • 상담
  • 정밀교정진단
  • 치료계획수립
  • 장치부착
  • 정기적인 내원
  • 교정완료 후
    장치제거
  • 유지장치 착용
  • 정기적인 검진
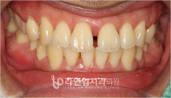
전후사진
치료전 Before
치료후 After
전후사진 더 보기

라인업치과 교정 POINT

ONE-STOP 동합진료

교정치료 시작부터 완료까지
구강외과, 교정과, 보철과 의료진들의
통합진료와 협진 브리핑을
진행합니다.

자체 기공소 운영

라인업치과 내 자체기공실을
운영하여 보다 빠르고 정밀한 치료를
받으실 수 있습니다.

교정 시뮬레이션

교정 전 시뮬레이션을 통해
치아의 이동과 교정치료의 결과를
미리 확인할 수 있어 정밀한
치료가 가능합니다.

맞춤 브라켓 사용

라인업치과에서는 개인의 치아
상태에 따라 적절한 브라켓을 사용
하고 있으며, 검진 후 어떤 브라켓이
사용되는지 안내해 드립니다.

라인업치과 빠른상담
빠른 상담신청

개인정보 취급방침

1.개인정보 수집이용에 대한 동의 ‘라인업치과의원’는 회원님의 개인정보를 중요시하며, “정보통신망 이용촉진 및 정보보호”에 관한 법률을 준수하고 있습니다. 회원님의 소중한 개인정보는 다음과 같은 정책에 따라 수집 및 이용되며, 회원님께서 제공하시는 개인정보가 어떠한 용도와 방식으로 이용되고 있으며, 개인정보보호를 위해 어떠한 조치가 취해지고 있는지 알려드립니다. 또한 개인정보취급방침을 개정하는 경우 웹사이트 공지사항을 통하여 공지할 것입니다.


2.개인정보의 수집•이용 목적 회원님께서 요청하신 제휴 문의에 대한 질의에 더욱 정확한 답변을 위해 성함, 연락처, 상담내용 등의 정보가 수집됩니다. - 수집항목 : 성명, 연락처, 상담내용 - 이용목적 : 상담내용에 대한 답변, 상담 관련 마케팅 및 정보안내 고지에 활용


3.보유이용 기간 원칙적으로, 개인정보 수집 및 이용목적이 달성된 후에는 해당 정보를 바로 파기합니다. 단, 다음의 정보에 대해서는 아래의 사유로 명시한기간 동안 보존합니다. - 보존 이유 : 회원님의 동의를 통한 정보 유지 - 보존 기간 : 회원정보 삭제 요청 시까지