콤비교정

콤비교정은 주로 겉으로 드러나는 윗니는 설측교정으로, 그에 비해 잘 드러나지 않는 아랫니는 순측 교정으로
진행 하는 교정방법 입니다. 저렴한 비용으로 두가지 방식의 교정의 장점을 모은 것으로 심미성과 경제성 모두를 만족할 수 있는 교정 방법 입니다

순측교정과 콤비교정 비교
순측교정
위 아래 모두 치아 바깥에 부착된 교정장치
콤비교정
윗니는 교정장치가 보이지 않는 콤비교정
콤비교정 특징
자신감 상승

윗니는 장치가 바깥으로 보이지 않아
웃거나 대화할 때도 자신감 있게!

합리적인 비용

효과는 설측교정처럼, 그에 비해
훨씬 경제적인 비용으로 부담없이!

편리한 발음

아래쪽은 순측교정으로 발음할 때 장치가
부딪히지 않아 편하고 자유롭게!

콤비교정,
이렇게도 가능합니다!
윗니 설측, 맞춤교정

보이지 않게 설측으로 심미성을 높이며, 맞춤장치로 통증을 줄인 교정

심미성과 경제성을 동시에 고려한 세라믹 콤비교정 아랫니 세라믹교정

치아색과 비슷한 세라믹 브라켓을 장착하여, 심미성이 우수하며 부담없는 비용과 우수한 교정력으로 가장 대중적인 콤비교정법입니다.

심미성은 기본, 기간과 통증을 줄인 클리피씨 콤비교정 아랫니 클리피씨 교정

자가결찰방식의 클리피씨 브라켓을 장착하여 교정기간을 줄일뿐 아니라 통증이 적고 치아관리가 편리한 한층 업그레이드 된 콤비교정법입니다.

콤비교정 대상
  • 대외활동이 많은 성인
  • 교정장치가 보이는 것이 부담되시는 분
  • 설측 교정의 비용이 부담스러우신 분
  • 취업이나 결혼 등을 앞두고 계신 분
교정진행과정
  • 상담
  • 정밀교정진단
  • 치료계획수립
  • 장치부착
  • 정기적인 내원
  • 교정완료 후
    장치제거
  • 유지장치 착용
  • 정기적인 검진
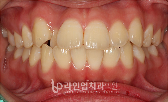
전후사진
치료전 Before
치료후 After
전후사진 더 보기

라인업치과 교정 POINT

ONE-STOP 동합진료

교정치료 시작부터 완료까지
구강외과, 교정과, 보철과 의료진들의
통합진료와 협진 브리핑을
진행합니다.

자체 기공소 운영

라인업치과 내 자체기공실을
운영하여 보다 빠르고 정밀한 치료를
받으실 수 있습니다.

교정 시뮬레이션

교정 전 시뮬레이션을 통해
치아의 이동과 교정치료의 결과를
미리 확인할 수 있어 정밀한
치료가 가능합니다.

맞춤 브라켓 사용

라인업치과에서는 개인의 치아
상태에 따라 적절한 브라켓을 사용
하고 있으며, 검진 후 어떤 브라켓이
사용되는지 안내해 드립니다.

라인업치과 빠른상담
빠른 상담신청

개인정보 취급방침

1.개인정보 수집이용에 대한 동의 ‘라인업치과의원’는 회원님의 개인정보를 중요시하며, “정보통신망 이용촉진 및 정보보호”에 관한 법률을 준수하고 있습니다. 회원님의 소중한 개인정보는 다음과 같은 정책에 따라 수집 및 이용되며, 회원님께서 제공하시는 개인정보가 어떠한 용도와 방식으로 이용되고 있으며, 개인정보보호를 위해 어떠한 조치가 취해지고 있는지 알려드립니다. 또한 개인정보취급방침을 개정하는 경우 웹사이트 공지사항을 통하여 공지할 것입니다.


2.개인정보의 수집•이용 목적 회원님께서 요청하신 제휴 문의에 대한 질의에 더욱 정확한 답변을 위해 성함, 연락처, 상담내용 등의 정보가 수집됩니다. - 수집항목 : 성명, 연락처, 상담내용 - 이용목적 : 상담내용에 대한 답변, 상담 관련 마케팅 및 정보안내 고지에 활용


3.보유이용 기간 원칙적으로, 개인정보 수집 및 이용목적이 달성된 후에는 해당 정보를 바로 파기합니다. 단, 다음의 정보에 대해서는 아래의 사유로 명시한기간 동안 보존합니다. - 보존 이유 : 회원님의 동의를 통한 정보 유지 - 보존 기간 : 회원정보 삭제 요청 시까지