ЧТО ТАКОЕ ОТБЕЛИВАНИЕ ЗУБОВ?

Процедура заключается в нанесении специального отбеливающего средства на зубы, которое придает им белизну.

КОМУ ПОКАЗАНО ОТБЕЛИВАНИЕ ЗУБОВ?
  • Кто стесняется своей улыбки из-за желтизны зубов
  • Кто хочет создать более приятную внешность перед свадьбой или трудоустройством
  • Кто хочет вернуть белизну зубов после курения
Почему перед отбеливанием обязательно нужно делать гигиеническую чистку зубов?

Гигиеническая чистка зубов начисто удаляет налет и камни с поверхности зубов и между ними, снимает воспаление десен и возвращает зубам здоровый внешний вид.

Для улучшения эффекта от отбеливания и предотвращения появления пятен на зубах, перед процедурой обязательно необходимо делать гигиеническую чистку зубов. Кроме того во время отбеливания на десны наносится специальное защитное средство, которое в случае больных десен или сильного налета может не выполнить своих защитных функций.

ЭТАПЫ ОТБЕЛИВАНИЯ ЗУБОВ
01 Фото ротовой полости

к зубам прикладывается палитра центов, делается снимок

02 Гигиеническая чистка (скейлинг)

осмотр ротовой полости, проведения гигиенической чистки зубов

03 Нанесение защитного средства для десен

защищает десны от повреждения отбеливающим средством

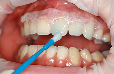
04 Нанесение отбеливающего средства

на все зубы, которые планируется отбелить

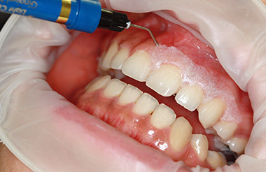
05 Лазер

надеваются защитные очки и приставляется специальный лазер

06 Сравнения эффекта до и после

при помощи фото и палитры цветов сравнивается полученный результат

ЧТО НУЖНО ЗНАТЬ
  • Если есть сколы на зубах или кариес, после отбеливания могут появиться болевые ощущения, поэтому предварительно необходимо проверить состояние зубов и эмали
  • Между процедурами отбеливания запрещено употреблять красящие продукты (вино, кофе, кари и др.), а также курение.
  • Ломота в зубах после процедуры означает хорошее проникновение отбеливающего средства, боль исчезает через некоторое время
  • После отбеливания 1 раз в 6 месяцев или год рекомендуется приходить на осмотр и гигиеническую чистку зубов
ПРИМЕРЫ ОТБЕЛИВАНИЯ ЗУБОВ
Before
After
more
라인업치과 빠른상담
빠른 상담신청

개인정보 취급방침

1.개인정보 수집이용에 대한 동의 ‘라인업치과의원’는 회원님의 개인정보를 중요시하며, “정보통신망 이용촉진 및 정보보호”에 관한 법률을 준수하고 있습니다. 회원님의 소중한 개인정보는 다음과 같은 정책에 따라 수집 및 이용되며, 회원님께서 제공하시는 개인정보가 어떠한 용도와 방식으로 이용되고 있으며, 개인정보보호를 위해 어떠한 조치가 취해지고 있는지 알려드립니다. 또한 개인정보취급방침을 개정하는 경우 웹사이트 공지사항을 통하여 공지할 것입니다.


2.개인정보의 수집•이용 목적 회원님께서 요청하신 제휴 문의에 대한 질의에 더욱 정확한 답변을 위해 성함, 연락처, 상담내용 등의 정보가 수집됩니다. - 수집항목 : 성명, 연락처, 상담내용 - 이용목적 : 상담내용에 대한 답변, 상담 관련 마케팅 및 정보안내 고지에 활용


3.보유이용 기간 원칙적으로, 개인정보 수집 및 이용목적이 달성된 후에는 해당 정보를 바로 파기합니다. 단, 다음의 정보에 대해서는 아래의 사유로 명시한기간 동안 보존합니다. - 보존 이유 : 회원님의 동의를 통한 정보 유지 - 보존 기간 : 회원정보 삭제 요청 시까지