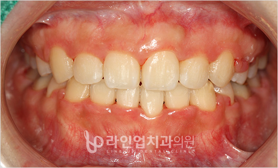
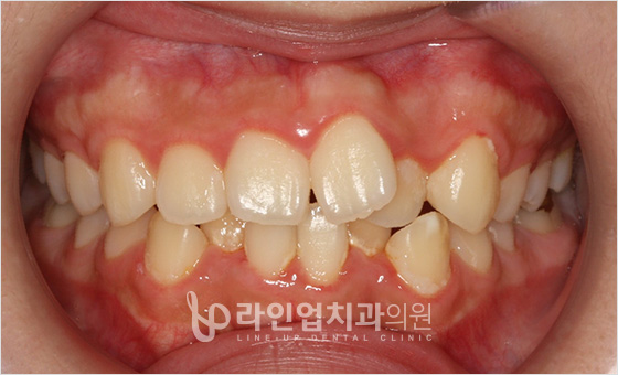
Зуб начинает выступать вперед когда в челюсти недостаточно пространства для его ровного положения, в таком случае зуб либо встает криво, либо ложится на соседний. Решение об удалении такого зубы принимается в зависимости от общего состояния зубного ряда, количества выступающих зубов, выпирание рта и от того, является ли этот зуб зубом мудрости или нет. Если удаление неизбежно, по возможности, удаляется один самый маленький коренной зуб, после чего устанавливаются брекеты.
Панорамный снимок, рентген зубов, фото снимок ротовой полости, снимок лица, снятие слепка и другие виды диагностики с использованием цифровых технологий. Благодаря этой диагностики можно отчетливо рассмотреть особенности строения челюсти, состояние зубов и т.д.
План лечения составляют совместно специалисты – ортодонты, челюстно-лицевые хирурги и протезисты.
Начинается ортодонтическое лечение на основе составленного плана лечения. На прием и осмотр к ортодонту необходимо приезжать 1 раз в месяц.
После снятия брекетов назначаются удерживающее зубной ретейнеры.
Осмотр и уход проводится постоянно даже после окончания ортодонтического лечения.
"Для достижения лучшего результата и составления правильного плана лечения,
специалисты - ортодонты, челюстно-лицевые хирурги и протезисты работают над каждой проблемой совместно."
важно правильно подбирать ортодонтическую конструкцию под каждый индивидуальный случай.
Металлические брекеты
отличаются высокой точностью и эффективностью, хотя выглядят они не так эстетично, зато более экономичные
Керамические брекеты
отличаются прекрасной эстетичностью, по эффективности коррекции не уступают металлическим, благодаря гладкой поверхности не натирают.
Clippy-C
самолигируюшие брекеты, благодаря возможности быстрого и свободного перемещения сокращают период лечения, удобны в уходе
прозрачные элайнеры
удобны в использовании где угодно и когда угодно, незаметны, удобны в уходе
Если тщательно не ухаживать за выступающими зубами, может легко образоваться кариес и повредиться соседние зубы. Также это может стать причиной заболевания десен, поэтому данная проблема требует ортодонтического лечения. В основном лечение выступающих зубов проводится не с эстетической целью, а с целью сохранения здоровья своих зубов на всю жизнь.
1.개인정보 수집이용에 대한 동의
‘라인업치과의원’는 회원님의 개인정보를 중요시하며, “정보통신망
이용촉진 및 정보보호”에 관한 법률을 준수하고 있습니다.
회원님의 소중한 개인정보는 다음과 같은 정책에 따라 수집 및 이용되며,
회원님께서 제공하시는 개인정보가 어떠한 용도와 방식으로 이용되고 있으며,
개인정보보호를 위해 어떠한 조치가 취해지고 있는지 알려드립니다.
또한 개인정보취급방침을 개정하는 경우 웹사이트 공지사항을 통하여 공지할
것입니다.
2.개인정보의 수집•이용 목적
회원님께서 요청하신 제휴 문의에 대한 질의에 더욱 정확한 답변을 위해 성함,
연락처, 상담내용 등의 정보가 수집됩니다.
- 수집항목 : 성명, 연락처, 상담내용
- 이용목적 : 상담내용에 대한 답변, 상담 관련 마케팅 및 정보안내
고지에 활용
3.보유이용 기간
원칙적으로, 개인정보 수집 및 이용목적이 달성된 후에는 해당 정보를 바로
파기합니다. 단, 다음의 정보에 대해서는 아래의 사유로 명시한기간 동안 보존합니다.
- 보존 이유 : 회원님의 동의를 통한 정보 유지
- 보존 기간 : 회원정보 삭제 요청 시까지