ЧАСТИЧНЫЕ БРЕКЕТ-СИСТЕМЫ

Устанавливаются в случае правильного положения зубов за исключением передних. Также, частичная брекет-система устанавливается если в результате долгого отсутствия зуба соседние зубы наклонились и не оставили пространства дл дальнейшего вживления импланта.

ОСОБЕННОСТИ ЧАСТИЧНЫХ БРЕКЕТОВ
Короткий период ортодонтического лечения

в зависимости от состояния зубов занимает всего 3- 6 месяцев

Частичная коррекция

возможность выбрать только те зубы, которые хотелось бы выровнять

Сниженная затратность

более низкая стоимость по сравнению с полным ортодонтическим лечением всего зубного ряда

КОМУ ПОКАЗАНА ЧАСТИЧНАЯ БРЕКЕТ-СИСТЕМА
  • Тем, кто желает исправить щель между зубами
  • Тем, кто желает исправить выступающие передние зубы
  • Тем, кто ощущает эстетический и функциональный дискомфорт от выступающего зуба
  • Тем, кто желает выровнять зубной ряд за короткий период без удаления зубов
  • Тем, у кого с возрастом зубной ряд стал неровным
  • Тем, кому требуется дополнительное ортодонтическое лечение после окончания первого
ПРОЦЕСС ОРТОДОНТИЧЕСКОГО ЛЕЧЕНИЯ
  • Консультация
  • Точная диагностика
  • План лечения
  • установка брекетов
  • регулярное посещение врача
  • снятие и установка ретейнеров
  • регулярный осмотр
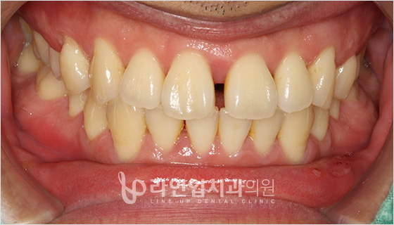
ФОТО ДО И ПОСЛЕ
Before
After
more

ПРЕИМУЩЕСТВА ОРТОДОНТИЧЕСКОГО ЛЕЧЕНИЯ В КЛИНИКЕ ЛАЙН АП

Комплексное лечение

челюстно-лицевые хирурги, ортодонты и протезисты проводят совместный брифинг по плану лечения и до завершения лечения совместно осуществляют контроль.

Собственная зуботехническая лаборатория

позволяет предоставить быстрое и точное лечение

Моделирование ортодонтического лечения

моделирование смещения зубов и результата лечения обеспечивает более точное лечение

Индивидуальный подбор брекет-систем

в клинике ЛАЙН АП брекет-системы подбираются индивидуально, в зависимости от состояния зубов и результатов диагностики.

라인업치과 빠른상담
빠른 상담신청

개인정보 취급방침

1.개인정보 수집이용에 대한 동의 ‘라인업치과의원’는 회원님의 개인정보를 중요시하며, “정보통신망 이용촉진 및 정보보호”에 관한 법률을 준수하고 있습니다. 회원님의 소중한 개인정보는 다음과 같은 정책에 따라 수집 및 이용되며, 회원님께서 제공하시는 개인정보가 어떠한 용도와 방식으로 이용되고 있으며, 개인정보보호를 위해 어떠한 조치가 취해지고 있는지 알려드립니다. 또한 개인정보취급방침을 개정하는 경우 웹사이트 공지사항을 통하여 공지할 것입니다.


2.개인정보의 수집•이용 목적 회원님께서 요청하신 제휴 문의에 대한 질의에 더욱 정확한 답변을 위해 성함, 연락처, 상담내용 등의 정보가 수집됩니다. - 수집항목 : 성명, 연락처, 상담내용 - 이용목적 : 상담내용에 대한 답변, 상담 관련 마케팅 및 정보안내 고지에 활용


3.보유이용 기간 원칙적으로, 개인정보 수집 및 이용목적이 달성된 후에는 해당 정보를 바로 파기합니다. 단, 다음의 정보에 대해서는 아래의 사유로 명시한기간 동안 보존합니다. - 보존 이유 : 회원님의 동의를 통한 정보 유지 - 보존 기간 : 회원정보 삭제 요청 시까지