Шүдний гоо сайхны эмчилгээ буюу нүүрэвч гэдэг нь?

Урт хугацаа шаардагддаг шүдний гажиг заслын эмчилгээг бодвол хурдан хугацаанд шүдийг цайруулан зөв хэлбэржүүлдэг эмчилгээ юм. Тийм учраас түргэвчилсэн гажиг заслын эмчилгээ ч гэж нэрлэдэг. Шүдний өнгө өөрчлөгдөх, эмтрэх, шүдний эгнээний гажигтай (далийж мурийсан), шүд хоорондын завсар үүсэх зэрэг шүдний гоо сайхан алдагдахад хийдэг эмчилгээ юм. Уг эмчилгээ нь тухайн хүний шүд болон буйлны хэмжээг авч зөвхөн хувь хүнд тохирсон нүүрэвч хийдгээрээ онцлогтой.

Уг эмчилгээг хийлгэх шаардлагатай тохиолдлууд
  • Үүдэн шүд хоорондын зай үүссэн тохиолдолд.
  • Шүдний өнгө өөрчлөгдсөн болон шүдний эгнээний гажигтай тохиолдолд.
  • Шүдний цайруулах эмчилгээ хийлгээд ч үр дүнд хүрч чадаагүй тохиодолд.
  • Хурдан хугацаанд шүдний хэлбэрээ засахыг хүссэн тохиолдолд.
  • Шүд гэмтэх болон эмтэрсэн тохиолдолд.
Шүдний гоо сайхны эмчилгээний явц
01 Рентгэн зураг авхуулж амны хөндийн үзлэг хийлгэх

Эхний удаад эмчилгээ хийлгэх явц болон гарах үр дүнгийн талаар эмчтэйгээ ярилцаж зөвлөгөө авна.

02 Шүдний хэв авах

Тухайн үйлчлүүлэгчийн шүдний хэвийг авч уг хэвэн дээр шинээр хийх шүдний загварыг гаргана.

03 Нүүрэвч хийх шүдийг засаж бэлдэ

Хэв авсан нүүрэвчийг наахын тулд шүдийг засаж янзлах хэрэгтэй болдог. Эхний ээлжинд түр нүүрэвчийг зассан шүдэнд наадаг. Шүдийг засах үед сувгийн эмчилгээ хийх шаарлага гарвал эмчилгээг хийж гүйцэтгэсэний дараа түр нүүрэвчийг наадаг.

04 Байнгийн нүүрэвч наах

Эцэст нь лабораторид бэлтгэгдэж бэлэн болсон нүүрэвчийг таны шүдэнд наадаг.

Шүдний гоо сайхны эмчилгээ хийлгэхэд анхаарах зүйлс
  • Хатуу болон наалдамхай зүйл идэхгүй байх.
  • Хэт хүйтэн болон халуун хоол идэхгүй байх.
  • Шүдний эмнэлэгээс зааварласан зааврын дагуу арчилгаа хийснээр нүүрэвчийг удаан хадгална.
  • Амны хөндийн ариун цэврийг сайн мөрдөж жилд 1-2 удаа үзлэгт орж шүдний чулуу түүлгэж хэвших.
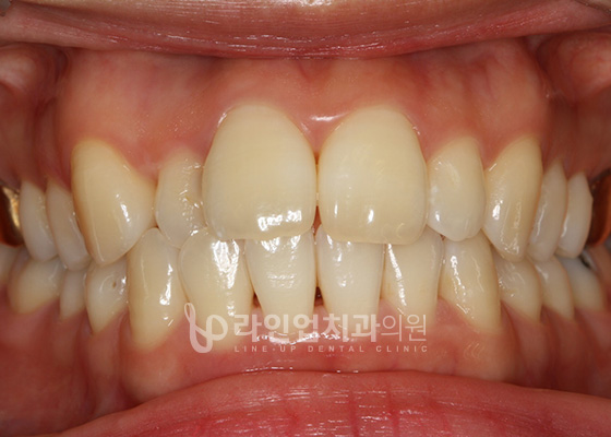
Шүдний гоо сайханы эмчилгээний өмнөх болон дараах зураг
Before
After
more
라인업치과 빠른상담
빠른 상담신청

개인정보 취급방침

1.개인정보 수집이용에 대한 동의 ‘라인업치과의원’는 회원님의 개인정보를 중요시하며, “정보통신망 이용촉진 및 정보보호”에 관한 법률을 준수하고 있습니다. 회원님의 소중한 개인정보는 다음과 같은 정책에 따라 수집 및 이용되며, 회원님께서 제공하시는 개인정보가 어떠한 용도와 방식으로 이용되고 있으며, 개인정보보호를 위해 어떠한 조치가 취해지고 있는지 알려드립니다. 또한 개인정보취급방침을 개정하는 경우 웹사이트 공지사항을 통하여 공지할 것입니다.


2.개인정보의 수집•이용 목적 회원님께서 요청하신 제휴 문의에 대한 질의에 더욱 정확한 답변을 위해 성함, 연락처, 상담내용 등의 정보가 수집됩니다. - 수집항목 : 성명, 연락처, 상담내용 - 이용목적 : 상담내용에 대한 답변, 상담 관련 마케팅 및 정보안내 고지에 활용


3.보유이용 기간 원칙적으로, 개인정보 수집 및 이용목적이 달성된 후에는 해당 정보를 바로 파기합니다. 단, 다음의 정보에 대해서는 아래의 사유로 명시한기간 동안 보존합니다. - 보존 이유 : 회원님의 동의를 통한 정보 유지 - 보존 기간 : 회원정보 삭제 요청 시까지