Шүд цайруулах гэдэг нь?

Шүд цайруулдаг бодисыг шүдэнд түрхэж шарласан шүдний өнгийг гялалзсан цагаан өнгөтөй болгодог арга юм.

Шүд цайруулах эмчилгээ хийлгэх хэрэгтэй хү
  • Шарласан шүднээсээ болоод инээмсэглэж чадахгүй байгаа хүмүүс
  • Гэрлэх болон шинэ ажилд орох гээд амьдралдаа чухал шинэ алхам хийх гэж буй хүмүүс
  • Тамхинаас гарсаны дараа цагаан шүдтэй болохыг хүссэн хүмүүс
Шүд цайруулах эмчилгээ хийлгэхийн өмнө шүдний чулуугаа заавал түүлгэх шаар

Шүдний чулуу түүлгэх эмчилгээг хийлгэснээр шүдний гадаргуу хэсэгт тогтсон өнгөр болон чулуужилтыг гүн цэвэрлэж буйлны хавдалтыг буулгаж цэвэрхэн болгодог.

Тиймээс цайруулах эмчилгээний өмнө чулуу түүлгэх эмчилгээ хийлгэснээр шүд цайруулах явцад шүд чулуунаас болж алаг эрээн толбо үүсэхээс сэргийлдэг байна. Мөн цайруулах эмчилгээ хийлгэх үед буйл хамгаалах түрхлэг түрхдэг. Шүд чулуужилттай юмуу буйл хавдсан тохиолдолд энэхүү түрхлэгийн үр дүнд муугаар нөлөөлдөг байна.

Шүд цайруулах эмчилгээний явц
01 Шүдний зураг авхуулах

Цайруулах эмчилгээний өмнө шүдний өнгөний зургаа авхуулана.

02 Шүдний чулуу түүлгэх эмчилгээ

Цайруулах эмчилгээ хийгдхээс өмнө шаардлагатай тохиолдолд шүдний гадаргууд наалдсан өнгөр болон чулууг цэвэрлэнэ.

03 Буйл хамгаалах түрхлэг түрхэх

Уруулыг хамгаалах тос түрхэсний дараа буйл хамгаалах түрхлэг түрхэнэ.

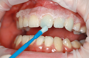
04 Шүд цайруулах бодис түрхэх

Шүд цайруулах бодис түрхэнэ.

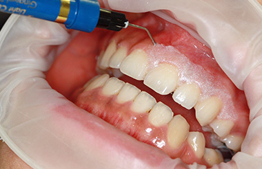
05 Цайруулах лазер

Нүдний хамгаалалт зүүлгэж цайруулах лазерын эмчилгээг хийнэ.

06 Цайруулахын өмнө ба дараах зургийг харицуулах

Цайруулах эмчилгээ хийлгэхийн өмнө авхуулсан зурагтайгаа цайрсан шүднийхээ зургийг харицуулан эмчилгээний үр дүнг шалгана.

Шүд цайруулах эмчилгээний дараа анхаарах зүйлс
  • Шүдний цоорол болон эмтрэл байгаа тохиолдолд цайруулах эмчилгээ хийлгэвэл цайруулах бодисноос болж янгинах тохиолдол гардаг учраас шүдээ эхлээд сайн үзүүлж байж шийдэх хэрэгтэй.
  • Цайруулах эмчилгээний дараа тамхи татах болон вино, кофе уух, каре зэрэг хүнсний будаг ихтэй хүнс идэхгүй байх хэрэгтэй.
  • Цайруулах эмчилгээг хийлгэснээс хойш шүдний мэдрэг чанар ялимгүй ихэсч янгинах тохиолдол байдаг ба энэ нь удахгүй хэвийн байдалдаа орох учир та санаа зоволтгү
  • Цайруулах эмчилгээ дууссаны дараа 6-н сараас 1 жилийн зайтай чулуу түүлгэх эмчилгээ хийлгэх болон үзлэгт орж байх хэрэгтэй.
Шүд цайруулах эмчилгээний өмнө ба дараах зураг
Before
After
more
라인업치과 빠른상담
빠른 상담신청

개인정보 취급방침

1.개인정보 수집이용에 대한 동의 ‘라인업치과의원’는 회원님의 개인정보를 중요시하며, “정보통신망 이용촉진 및 정보보호”에 관한 법률을 준수하고 있습니다. 회원님의 소중한 개인정보는 다음과 같은 정책에 따라 수집 및 이용되며, 회원님께서 제공하시는 개인정보가 어떠한 용도와 방식으로 이용되고 있으며, 개인정보보호를 위해 어떠한 조치가 취해지고 있는지 알려드립니다. 또한 개인정보취급방침을 개정하는 경우 웹사이트 공지사항을 통하여 공지할 것입니다.


2.개인정보의 수집•이용 목적 회원님께서 요청하신 제휴 문의에 대한 질의에 더욱 정확한 답변을 위해 성함, 연락처, 상담내용 등의 정보가 수집됩니다. - 수집항목 : 성명, 연락처, 상담내용 - 이용목적 : 상담내용에 대한 답변, 상담 관련 마케팅 및 정보안내 고지에 활용


3.보유이용 기간 원칙적으로, 개인정보 수집 및 이용목적이 달성된 후에는 해당 정보를 바로 파기합니다. 단, 다음의 정보에 대해서는 아래의 사유로 명시한기간 동안 보존합니다. - 보존 이유 : 회원님의 동의를 통한 정보 유지 - 보존 기간 : 회원정보 삭제 요청 시까지