Facial asymmetry correction

Facial asymmetry are called hemifacial microsomia with different face shapes. In fact, there are very few people who are 100 percent symmetrical. But not just the usual, they give facial asymmetry diagnoses to people who clearly have different facial features. If face is not symmetric, it is recommended that you correct the overall balance by calibrating.

Needs to get facial asymmetry correction
  • When you smile, only one of oral angles goes up.
  • When you close your mouth, look lean to one side.
  • When you close your mouth, overall face unbalances.

Facial asymmetry correction

Facial asymmetry surgery

There's a lot of talk about whether facial asymmetry is only available for correction or surgery. If it is not a serious asymmetry, the correction itself can reduce the asymmetry by matching the straight line of the teeth, but if the degree of asymmetry is severe, surgery can be performed to ensure satisfactory results.

Process of treating
Facial asymmetry
01 Consultation and Precision Diagnosis

Through digital examination equipment such as panorama, X-ray imaging, face photo, and taking a cast of the inside of toothbon, the structural characteristics of the jaw and the condition of the teeth are examined carefully.

02 Diagnosing and establishing a plan for tooth correction

The specialists in each area implement treatment goals and plans based on the results of the examination.

03 Orthodontic care

Begin orthodontic treatment based on plan. The medical institution checks the condition and tooth correction procedures once a month.

04 Attach the dental maintainer after tooth correction is finished.

Attach the dental maintainer after tooth correction is finished.

05 Continuous follow-up management

After tooth correction, perform continuous management and examination.

"Through digital examination equipment such as panorama, X-ray imaging, face photo, and taking a cast of the inside of toothbon, the structural characteristics of the jaw and the condition of the teeth are examined carefully."

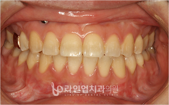
Before and After
Before
After
more
Line-up Dental Clinic
Facal Asymmetry Correction Guide

Facial asymmetry treatment requires accurate diagnosis through CT scans first. If you have a crooked tooth, you can correct it by wearing bracket. In severe cases, it holds the centerline of your face through square jaw surgery or genioplasty.

라인업치과 빠른상담
빠른 상담신청

개인정보 취급방침

1.개인정보 수집이용에 대한 동의 ‘라인업치과의원’는 회원님의 개인정보를 중요시하며, “정보통신망 이용촉진 및 정보보호”에 관한 법률을 준수하고 있습니다. 회원님의 소중한 개인정보는 다음과 같은 정책에 따라 수집 및 이용되며, 회원님께서 제공하시는 개인정보가 어떠한 용도와 방식으로 이용되고 있으며, 개인정보보호를 위해 어떠한 조치가 취해지고 있는지 알려드립니다. 또한 개인정보취급방침을 개정하는 경우 웹사이트 공지사항을 통하여 공지할 것입니다.


2.개인정보의 수집•이용 목적 회원님께서 요청하신 제휴 문의에 대한 질의에 더욱 정확한 답변을 위해 성함, 연락처, 상담내용 등의 정보가 수집됩니다. - 수집항목 : 성명, 연락처, 상담내용 - 이용목적 : 상담내용에 대한 답변, 상담 관련 마케팅 및 정보안내 고지에 활용


3.보유이용 기간 원칙적으로, 개인정보 수집 및 이용목적이 달성된 후에는 해당 정보를 바로 파기합니다. 단, 다음의 정보에 대해서는 아래의 사유로 명시한기간 동안 보존합니다. - 보존 이유 : 회원님의 동의를 통한 정보 유지 - 보존 기간 : 회원정보 삭제 요청 시까지