What is Odotoplasty?

Unlike orthodontics, teeth can be changed white and straight in a short period of time, so it is also called rapid orthodontic. It is the procedure to restore if the teeth are not aesthetic with discoloration, damage, or disfiguration.
Odotoplasty is the procedure that can be changed into the most suitable form for you because it is performed by analyzing the individual tooth shape, ratio, gumsline, and face shape.

Odotoplasty is required
  • If there is a gap between the front teeth.
  • If there is a stain on the teeth or a strange shape.
  • If it is difficult to have an instant effect with whitening because of the discoloration of teeth.
  • If you have uneven teeth, but you don't have enough time to get orthodontic treatment.
  • If the teeth are broken or damaged.
Odotoplasty Process
01 Taking X-RAY and Oral Examination

We show you the virtual results of the first surgery and you can talk about the general details of the operation, including how it fits you and how it works.

02 Modeling

We design a new tooth shape, using a pre-printed photo.

03 Tooth removal

Remove the minimum amount of teeth that can be shaped and then attach temporary prosthesis. If nerve treatment is required during tooth removal, it may take several days and temporary prosthesis can be attached after nerve treatment.

03 Permanent attachment

After checking the tooth shape and gums of the attached temporary teeth, attach them permanently with the most natural prosthetic material through the dental technology process.

Precautions after Odotoplasty
  • Avoid eating hard or sticky foods with your front teeth.
  • Refrain from cold or hot drinks if your teeth are sensitive.
  • Brushing your theeth properly as mentioned by the dentist and you can use your dental prosthesis for a long time.
  • It is recommended that you pay more attention to dental care and get scaling and oral examination every six months to one year.
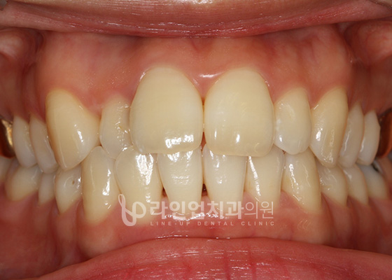
Case of Odotoplasty
Before
After
more
라인업치과 빠른상담
빠른 상담신청

개인정보 취급방침

1.개인정보 수집이용에 대한 동의 ‘라인업치과의원’는 회원님의 개인정보를 중요시하며, “정보통신망 이용촉진 및 정보보호”에 관한 법률을 준수하고 있습니다. 회원님의 소중한 개인정보는 다음과 같은 정책에 따라 수집 및 이용되며, 회원님께서 제공하시는 개인정보가 어떠한 용도와 방식으로 이용되고 있으며, 개인정보보호를 위해 어떠한 조치가 취해지고 있는지 알려드립니다. 또한 개인정보취급방침을 개정하는 경우 웹사이트 공지사항을 통하여 공지할 것입니다.


2.개인정보의 수집•이용 목적 회원님께서 요청하신 제휴 문의에 대한 질의에 더욱 정확한 답변을 위해 성함, 연락처, 상담내용 등의 정보가 수집됩니다. - 수집항목 : 성명, 연락처, 상담내용 - 이용목적 : 상담내용에 대한 답변, 상담 관련 마케팅 및 정보안내 고지에 활용


3.보유이용 기간 원칙적으로, 개인정보 수집 및 이용목적이 달성된 후에는 해당 정보를 바로 파기합니다. 단, 다음의 정보에 대해서는 아래의 사유로 명시한기간 동안 보존합니다. - 보존 이유 : 회원님의 동의를 통한 정보 유지 - 보존 기간 : 회원정보 삭제 요청 시까지