What is teeth whitening?

It is a surgical procedure to apply whitening medicine to the teeth to change the color of the teeth that turned yellow.

Case you need teeth whitening
  • People who have yellowed theeth and don't have bright smile
  • People who wants to make a bright impression before marriage or employment
  • People who wants to get their white teeth back after quitting smoking
Why do you have to get scaling before the whitening procedure?

Scaling helps to clean teeth by removing debris and plaque from the surface of the teeth and also can help with swollen gums.

Scaling must be done before whitening to prevent tooth stain. During wihtening procedure, to protect gum, we apply protect agent. It may not function properly if there is plaque or the gums are swollen.

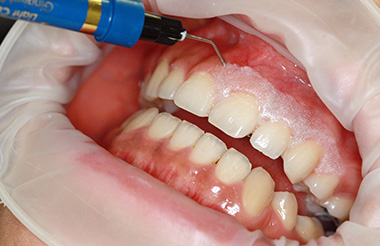
Tooth Whitening Process
01 Extraoral Radiography

Check the color of teeth using the tooth color determination kit and take extraoral radiography.

02 Scaling

Check the oral condition before the procedure and perform scaling.

03 Apply gum protecting agent

After applying lip protection cream, apply gum protecting agent on the border between teeth and gums to protect the gums from whitening agents.

04 Apply whitening agent

Apply whitening agent to your teeth.

05 Whitening laser procedure

After wearing protective glasses, perform whitening laser treatment.

06 Comparison of Before and After Photographs

After the procedure, you can compare with the tooth color determination kit and extraoral radiography.

Precautions after whitening teeth
  • If your teeth are broken or have cavities, it may react with whitening agents and tooth smarts, so regular oral examination should be a priority.
  • You shouldn't smoke, and avoid eating foods with lots of pigments such as wine, curry and coffee.
  • If your teeth smart after whitening, that means agents administered well. symptoms will be disappeared in the course of time.
  • After dental whitening, it is recommended that you get scaling and regular checkups every six months to one year.
Case of Dental Whitening
Before
After
more
라인업치과 빠른상담
빠른 상담신청

개인정보 취급방침

1.개인정보 수집이용에 대한 동의 ‘라인업치과의원’는 회원님의 개인정보를 중요시하며, “정보통신망 이용촉진 및 정보보호”에 관한 법률을 준수하고 있습니다. 회원님의 소중한 개인정보는 다음과 같은 정책에 따라 수집 및 이용되며, 회원님께서 제공하시는 개인정보가 어떠한 용도와 방식으로 이용되고 있으며, 개인정보보호를 위해 어떠한 조치가 취해지고 있는지 알려드립니다. 또한 개인정보취급방침을 개정하는 경우 웹사이트 공지사항을 통하여 공지할 것입니다.


2.개인정보의 수집•이용 목적 회원님께서 요청하신 제휴 문의에 대한 질의에 더욱 정확한 답변을 위해 성함, 연락처, 상담내용 등의 정보가 수집됩니다. - 수집항목 : 성명, 연락처, 상담내용 - 이용목적 : 상담내용에 대한 답변, 상담 관련 마케팅 및 정보안내 고지에 활용


3.보유이용 기간 원칙적으로, 개인정보 수집 및 이용목적이 달성된 후에는 해당 정보를 바로 파기합니다. 단, 다음의 정보에 대해서는 아래의 사유로 명시한기간 동안 보존합니다. - 보존 이유 : 회원님의 동의를 통한 정보 유지 - 보존 기간 : 회원정보 삭제 요청 시까지