Partial orthodontics

If other teeth are good, only partially correct the uneven front teeth, or if the adjacent teeth have collapsed due to loss of room to settle the implant, perform partial orthodontics.

Partial orthodontics feature
A fast period

Fast orthodontics that complete the calibration in three to six months depending on the condition of the teeth.

Partial treatment available

Selectively treat only the desired part

Lower cost

Partial orthodontics in front of teeth, reduced burden compared to overall calibration

Partial orthodontics target
  • Someone who wants to improve their open teeth.
  • Someone who wants to improve your protruding front teeth
  • In case of feeling aesthetic and functional discomfort with the outer teeth
  • Someone wants to improve the arrangement of your teeth in a short period of time without removing them
  • The arrangement of teeth is crooked as they grow older
  • Someone does not feel satisfied after orthodontics, you need to recalibrate your teeth.
교정진행과정
  • 상담
  • 정밀교정진단
  • 치료계획수립
  • 장치부착
  • 정기적인 내원
  • 교정완료 후
    장치제거
  • 유지장치 착용
  • 정기적인 검진
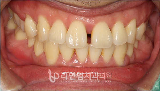
Before and After
Before
After
more

Line Up Tooth correction POINT

One-stop Integrated care

From the beginning of orthodontics to the completion of calibration, we provide integrated medical and collaborative briefings for oral surgery, calibration, prosthetics, and medical staff.

Operate our own dental laboratory

We operate our own labs in the dentist, and we do faster and more precise treatments.

Orthodontics simulation

Pre-calibration simulations allow you to check the results of the movement and treatment of your teeth in advance for precise treatment.

Use Custom Bracket

We use appropriate brackets according to the condition of the individual's teeth, and we will show you which brackets are used after examination.

라인업치과 빠른상담
빠른 상담신청

개인정보 취급방침

1.개인정보 수집이용에 대한 동의 ‘라인업치과의원’는 회원님의 개인정보를 중요시하며, “정보통신망 이용촉진 및 정보보호”에 관한 법률을 준수하고 있습니다. 회원님의 소중한 개인정보는 다음과 같은 정책에 따라 수집 및 이용되며, 회원님께서 제공하시는 개인정보가 어떠한 용도와 방식으로 이용되고 있으며, 개인정보보호를 위해 어떠한 조치가 취해지고 있는지 알려드립니다. 또한 개인정보취급방침을 개정하는 경우 웹사이트 공지사항을 통하여 공지할 것입니다.


2.개인정보의 수집•이용 목적 회원님께서 요청하신 제휴 문의에 대한 질의에 더욱 정확한 답변을 위해 성함, 연락처, 상담내용 등의 정보가 수집됩니다. - 수집항목 : 성명, 연락처, 상담내용 - 이용목적 : 상담내용에 대한 답변, 상담 관련 마케팅 및 정보안내 고지에 활용


3.보유이용 기간 원칙적으로, 개인정보 수집 및 이용목적이 달성된 후에는 해당 정보를 바로 파기합니다. 단, 다음의 정보에 대해서는 아래의 사유로 명시한기간 동안 보존합니다. - 보존 이유 : 회원님의 동의를 통한 정보 유지 - 보존 기간 : 회원정보 삭제 요청 시까지