牙齿美白是指?

涂抹美白药剂使变黄的牙齿从新变成白色的治疗方法

需要牙齿美白的情况
  • 因为牙齿变黄不能开怀大笑的人
  • 马上要结婚或参加工作希望给人一种开朗的印象的人
  • 戒烟后想找回洁白牙齿的人
牙齿美白实施前一定要清洁牙的理由

清洁牙有把牙齿表面和牙缝里的残渣和牙石清除干净以及红肿的牙龈消肿使牙齿变干净作用

进行美白前一定要进行牙齿清洁的理由是为了防止美白效果的减少和由于牙石的原因导致牙齿上产生污渍.另外牙齿美白时为了保护牙龈要涂抹牙龈保护剂如果有牙石或者牙龈红肿的话牙龈保护剂不能很好地发挥其功能

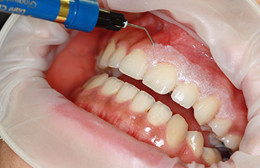
牙齿美白过程
01 口腔照片拍摄

利用牙齿颜色套装对现在的牙齿颜色进行检查并对牙齿拍照

02 清洁牙

牙齿美白前检查口腔状态进行牙齿清洁

03 涂抹牙龈保护剂

涂抹嘴唇保护霜后从美白剂开始为了保护牙龈在牙齿与牙龈的分界处涂抹牙龈保护剂

04 涂抹牙齿美白剂

往牙齿上涂抹牙齿美白剂

05 实施美白激光

佩戴护眼镜使用美白激光治疗

06 前后照片对比

完成后的牙齿颜色与之前使用的牙齿颜色套装进行比较通过拍照确认改变后的模样

牙齿美白后注意事项
  • 牙齿破损或者有虫牙的情况下由于可能会发生与美白剂产生反应倒牙的情况必须先进行口腔检查
  • 美白中不允许吸烟,红酒,咖喱,咖啡等色素含量高的食物尽量避免食用
  • 美白后有倒牙症状表明美白剂涂抹很好,过段时间症状就会消失
  • 牙齿美白完成后最好6个月~1年间隔进行定期的检查和清洁牙齿
牙齿美白案例
Before
After
more
라인업치과 빠른상담
빠른 상담신청

개인정보 취급방침

1.개인정보 수집이용에 대한 동의 ‘라인업치과의원’는 회원님의 개인정보를 중요시하며, “정보통신망 이용촉진 및 정보보호”에 관한 법률을 준수하고 있습니다. 회원님의 소중한 개인정보는 다음과 같은 정책에 따라 수집 및 이용되며, 회원님께서 제공하시는 개인정보가 어떠한 용도와 방식으로 이용되고 있으며, 개인정보보호를 위해 어떠한 조치가 취해지고 있는지 알려드립니다. 또한 개인정보취급방침을 개정하는 경우 웹사이트 공지사항을 통하여 공지할 것입니다.


2.개인정보의 수집•이용 목적 회원님께서 요청하신 제휴 문의에 대한 질의에 더욱 정확한 답변을 위해 성함, 연락처, 상담내용 등의 정보가 수집됩니다. - 수집항목 : 성명, 연락처, 상담내용 - 이용목적 : 상담내용에 대한 답변, 상담 관련 마케팅 및 정보안내 고지에 활용


3.보유이용 기간 원칙적으로, 개인정보 수집 및 이용목적이 달성된 후에는 해당 정보를 바로 파기합니다. 단, 다음의 정보에 대해서는 아래의 사유로 명시한기간 동안 보존합니다. - 보존 이유 : 회원님의 동의를 통한 정보 유지 - 보존 기간 : 회원정보 삭제 요청 시까지