面部不对矫正

面部不对称是指,面部上下左右模样不一样呈现出面部歪斜被叫做“半侧面部短小综合征”事实上100%对称完美的人几乎是不存在的,可以认为所有人都存在不同程度的不对称.但是不是一般的程度用肉眼很容易就能看出来面部左右不一样的人就能判断为面部不对称.如果面部左右不对称的话,整体的均衡看起来就是扭曲的,因此最好通过矫正来解决

面部不对称矫正适用人群
  • 保持微笑的时候,只有一侧的嘴角上翘的情况
  • 牙齿闭合的时候,看起来往一侧歪的情况
  • 牙齿闭合的时候,与中准线不一致的情况

面部不对称矫正面部不对称手术

但是,不对称程度严重的情况,同时存在咬合不正,突嘴,撅下巴等情况是只有进行手术才能得到满意的结果.

面部不对称矫正治疗过程
01 矫正商谈及精密诊断

通过全景,骨骼X片拍摄,口腔,面部照片,牙齿模拟等电子检查装备把颌骨结构上的特征,牙齿的状态等进行仔细的检查和诊断

02 检查结果诊断及制定矫正计划

矫正科,口腔鄂面部外科,填充物科的专业医生召集到一起对检查结果进行讨论制定治疗目标和计划

03 矫正治疗

以治疗计划为基础开始进行矫正治疗.一月个一次来院复诊进行诊疗及检查矫正过程

04 矫正完成后安装保持器

矫正治疗完成和安装保持器

05 持续的事后管理

矫正完成后进行持续的管理和检查

"Line up牙科为了达到最好的结果会把矫正科,口腔鄂面部外科,填充物科的专业医生召集到一起制定治疗目标和计划"

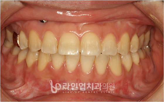
前后照片
Before
After
more
Line up牙科
面部不对称矫正指南

面部不对称诊疗首先需要通过CT拍片进行正确的诊断.不是很严重的不对称只是牙齿歪斜导致的不对称的话可以用矫正进行治疗 严重的情况通过复合性的方下巴手术,下颏骨手术等确认面部中心线

라인업치과 빠른상담
빠른 상담신청

개인정보 취급방침

1.개인정보 수집이용에 대한 동의 ‘라인업치과의원’는 회원님의 개인정보를 중요시하며, “정보통신망 이용촉진 및 정보보호”에 관한 법률을 준수하고 있습니다. 회원님의 소중한 개인정보는 다음과 같은 정책에 따라 수집 및 이용되며, 회원님께서 제공하시는 개인정보가 어떠한 용도와 방식으로 이용되고 있으며, 개인정보보호를 위해 어떠한 조치가 취해지고 있는지 알려드립니다. 또한 개인정보취급방침을 개정하는 경우 웹사이트 공지사항을 통하여 공지할 것입니다.


2.개인정보의 수집•이용 목적 회원님께서 요청하신 제휴 문의에 대한 질의에 더욱 정확한 답변을 위해 성함, 연락처, 상담내용 등의 정보가 수집됩니다. - 수집항목 : 성명, 연락처, 상담내용 - 이용목적 : 상담내용에 대한 답변, 상담 관련 마케팅 및 정보안내 고지에 활용


3.보유이용 기간 원칙적으로, 개인정보 수집 및 이용목적이 달성된 후에는 해당 정보를 바로 파기합니다. 단, 다음의 정보에 대해서는 아래의 사유로 명시한기간 동안 보존합니다. - 보존 이유 : 회원님의 동의를 통한 정보 유지 - 보존 기간 : 회원정보 삭제 요청 시까지