重牙矫正

重牙是指牙齿成长的空间不足导致牙齿不能在原来的位置上正常的生长,变得歪歪斜斜,又或者与其他牙齿重叠在一起的模样 重牙矫正的情况下,根据患者的状态确认是否需要拔牙,根据重牙的程度,嘴巴是否突出,有无智齿等决定矫正方法 必须要拔牙的情况下,会把不影响机能性和美观的小臼齿中的一个拔掉进行矫正

重牙矫正适用人群
  • 摄取食物后经常塞牙的情况
  • 由于重牙导致咀嚼食物感觉不方便的情况
  • 蛀牙及牙龈问题发生频繁的情况
  • 严重的重牙导致不能正常的咬合的情况
  • 期望拥有整齐牙齿的情况
重牙治疗过程
01 矫正商谈及精密诊断

通过全景,骨骼X片拍摄,口腔,面部照片,牙齿模拟等电子检查装备把颌骨结构上的特征,牙齿的状态等进行仔细的检查和诊断

02 检查结果诊断及制定矫正计划

矫正科,口腔鄂面部外科,填充物科的专业医生召集到一起对检查结果进行讨论制定治疗目标和计划

03 矫正治疗

以治疗计划为基础开始进行矫正治疗.一月个一次来院复诊进行诊疗及检查矫正过程

04 矫正完成后安装保持器

矫正治疗完成和安装保持器

05 持续的事后管理

矫正完成后进行持续的管理和检查

"Line up牙科为了达到最好的结果会把矫正科,口腔鄂面部外科,填充物科的专业医生召集到一起制定治疗目标和计划"

重牙矫正装置种类

根据每人牙齿状态的不同对于矫正装置的选择是重要的

金属矫正

高精密度和效率性,与其他矫正装置比起来费用低廉,用金属托槽会影响美观

陶瓷矫正

价格实惠极好的美观性,与金属矫正相同的矫正力,柔和的表面减轻异物感

自锁托槽矫正

自动绑定方式,快的牙齿移动能力缩短治疗时间,减轻疼痛和不舒服的感觉

透明矫正

能够随时随地的拆除和佩戴,不易被看到的美观性,卫生管理方便

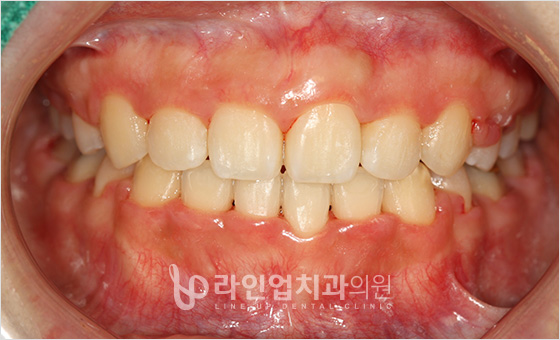
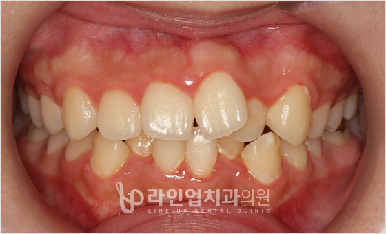
前后照片
Before
After
more
Line up牙科
重牙矫正指南

重牙的情况下如果不好好管理的话容易发生蛀牙还会对其他的牙齿造成影响.因为是各种牙龈疾病的主要原因需要进行矫正治疗.重牙并不是为了美容目的而是为了保护平生使用的恒牙需要进行的矫正治疗

라인업치과 빠른상담
빠른 상담신청

개인정보 취급방침

1.개인정보 수집이용에 대한 동의 ‘라인업치과의원’는 회원님의 개인정보를 중요시하며, “정보통신망 이용촉진 및 정보보호”에 관한 법률을 준수하고 있습니다. 회원님의 소중한 개인정보는 다음과 같은 정책에 따라 수집 및 이용되며, 회원님께서 제공하시는 개인정보가 어떠한 용도와 방식으로 이용되고 있으며, 개인정보보호를 위해 어떠한 조치가 취해지고 있는지 알려드립니다. 또한 개인정보취급방침을 개정하는 경우 웹사이트 공지사항을 통하여 공지할 것입니다.


2.개인정보의 수집•이용 목적 회원님께서 요청하신 제휴 문의에 대한 질의에 더욱 정확한 답변을 위해 성함, 연락처, 상담내용 등의 정보가 수집됩니다. - 수집항목 : 성명, 연락처, 상담내용 - 이용목적 : 상담내용에 대한 답변, 상담 관련 마케팅 및 정보안내 고지에 활용


3.보유이용 기간 원칙적으로, 개인정보 수집 및 이용목적이 달성된 후에는 해당 정보를 바로 파기합니다. 단, 다음의 정보에 대해서는 아래의 사유로 명시한기간 동안 보존합니다. - 보존 이유 : 회원님의 동의를 통한 정보 유지 - 보존 기간 : 회원정보 삭제 요청 시까지