部分矫正

除门牙以外其他牙齿排列良好的情况下只把不整齐的门牙进行部分矫正, 或者没有种植牙植入的空间周边牙齿倒的情况进行部分矫正

部分矫正特征
矫正时间快

根据牙齿状态大概3~6个月就能完成矫正的快速矫正

能够进行部分治疗

可以选择性地对希望的部分进行治疗

费用负担down

只是门牙部分矫正与整体矫正相比矫正费用低很多

部分矫正适用人群
  • 想改善豁牙的情况
  • 只想改善突出的门牙的情况
  • 虎牙美观上,感觉机能上不舒服的情况
  • 不拔牙段期间想改善牙齿排列的情况
  • 年龄大牙齿排列歪斜的情况
  • 矫正后感觉不满意需要再矫正的情况
矫正进行过程
  • 商谈
  • 精密矫正诊断
  • 制定治疗计划
  • 黏贴托槽
  • 定期性的复诊
  • 矫正完成后去除托槽
  • 使用保持器
  • 定期性的检查
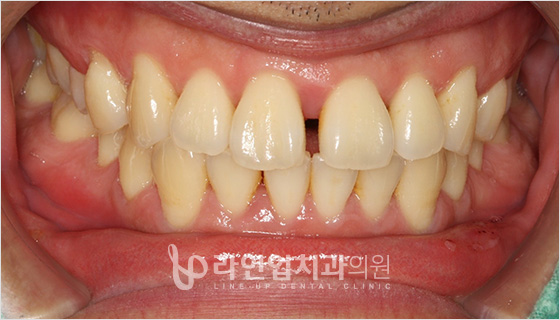
前后照片
Before
After
more

Line up牙科 矫正point

One-stop综合诊疗

从矫正治疗开始到矫正完成口腔外科,矫正科,填充物科的专业医生的综合治疗和进行会诊简报

自有加工所运营

line up牙科内运营自有加工所能够得到快速的精准的治疗

矫正模拟

通过矫正前模拟能够事先确认牙齿的移动和矫正治疗的结果能够进行精密得治疗

定制支架使用

在line up根据个人的牙齿状态使用适合的支架,检查后使用哪一种支架会进行说明

라인업치과 빠른상담
빠른 상담신청

개인정보 취급방침

1.개인정보 수집이용에 대한 동의 ‘라인업치과의원’는 회원님의 개인정보를 중요시하며, “정보통신망 이용촉진 및 정보보호”에 관한 법률을 준수하고 있습니다. 회원님의 소중한 개인정보는 다음과 같은 정책에 따라 수집 및 이용되며, 회원님께서 제공하시는 개인정보가 어떠한 용도와 방식으로 이용되고 있으며, 개인정보보호를 위해 어떠한 조치가 취해지고 있는지 알려드립니다. 또한 개인정보취급방침을 개정하는 경우 웹사이트 공지사항을 통하여 공지할 것입니다.


2.개인정보의 수집•이용 목적 회원님께서 요청하신 제휴 문의에 대한 질의에 더욱 정확한 답변을 위해 성함, 연락처, 상담내용 등의 정보가 수집됩니다. - 수집항목 : 성명, 연락처, 상담내용 - 이용목적 : 상담내용에 대한 답변, 상담 관련 마케팅 및 정보안내 고지에 활용


3.보유이용 기간 원칙적으로, 개인정보 수집 및 이용목적이 달성된 후에는 해당 정보를 바로 파기합니다. 단, 다음의 정보에 대해서는 아래의 사유로 명시한기간 동안 보존합니다. - 보존 이유 : 회원님의 동의를 통한 정보 유지 - 보존 기간 : 회원정보 삭제 요청 시까지