复合矫正

复合矫正是指主要露在外面的上牙用舌侧矫正,相比没有露出来的下呀用唇侧矫正进行的矫正方法.以便宜的价格使用结合两种矫正方式的优点从美观上和经济性上都能满足的矫正方法

순측교정과 콤비교정 비교
唇侧矫正
上下牙齿都在外侧黏贴矫正装置
复合矫正
上下牙齿都在外侧黏贴矫正装置 上牙齿看不到矫正装置的复合矫正
复合矫正特征
自信感上升

上牙的装置在外面看不到,笑或者对话的时候自信满满

合理的费用

效果与舌侧矫正相似,相比起来费用要低廉很多没有负担

正常的发音

下部分使用唇侧矫正发音时不会碰到装置舒适和自由

复合矫正,
也可以这样
上牙舌侧,定制矫正

在看不到的舌侧提高美观性,用定制的装置减少疼痛的矫正

同时考虑到美观和经济性 陶瓷复合矫正 下牙陶瓷矫正

安装与牙齿颜色相似的陶瓷托槽,优秀的美观性以及没有负担的费用和极好的矫正力是常大众化的复合矫正

美观性是基本,时间和疼痛减少 自锁托槽复合矫正 下牙自锁托槽矫正

安装自主锁定方式的自锁托槽不仅仅是缩短矫正时间而且减少疼痛,牙齿管理也更为方便是更进一步升级版的复合矫正

复合矫正适合人群
  • 社交活动多的成年人
  • 不喜欢矫正装置被看到的人
  • 舌侧矫正的费用有负担的人
  • 马上就要就业或者结婚的人
矫正进行过程
  • 商谈
  • 精密矫正诊断
  • 制定治疗计划
  • 黏贴托槽
  • 定期性的复诊
  • 矫正完成后去除托槽
  • 使用保持器
  • 定期性的检查
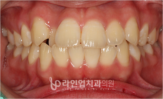
前后照片
Before
After
more

Line up牙科 矫正point

One-stop综合诊疗

从矫正治疗开始到矫正完成口腔外科,矫正科,填充物科的专业医生的综合治疗和进行会诊简报

自有加工所运营

line up牙科内运营自有加工所能够得到快速的精准的治疗

矫正模拟

通过矫正前模拟能够事先确认牙齿的移动和矫正治疗的结果能够进行精密得治疗

定制支架使用

在line up根据个人的牙齿状态使用适合的支架,检查后使用哪一种支架会进行说明

라인업치과 빠른상담
빠른 상담신청

개인정보 취급방침

1.개인정보 수집이용에 대한 동의 ‘라인업치과의원’는 회원님의 개인정보를 중요시하며, “정보통신망 이용촉진 및 정보보호”에 관한 법률을 준수하고 있습니다. 회원님의 소중한 개인정보는 다음과 같은 정책에 따라 수집 및 이용되며, 회원님께서 제공하시는 개인정보가 어떠한 용도와 방식으로 이용되고 있으며, 개인정보보호를 위해 어떠한 조치가 취해지고 있는지 알려드립니다. 또한 개인정보취급방침을 개정하는 경우 웹사이트 공지사항을 통하여 공지할 것입니다.


2.개인정보의 수집•이용 목적 회원님께서 요청하신 제휴 문의에 대한 질의에 더욱 정확한 답변을 위해 성함, 연락처, 상담내용 등의 정보가 수집됩니다. - 수집항목 : 성명, 연락처, 상담내용 - 이용목적 : 상담내용에 대한 답변, 상담 관련 마케팅 및 정보안내 고지에 활용


3.보유이용 기간 원칙적으로, 개인정보 수집 및 이용목적이 달성된 후에는 해당 정보를 바로 파기합니다. 단, 다음의 정보에 대해서는 아래의 사유로 명시한기간 동안 보존합니다. - 보존 이유 : 회원님의 동의를 통한 정보 유지 - 보존 기간 : 회원정보 삭제 요청 시까지